Advertisement

Cementation Of Zirconia Crown : I Know Denmat Denmat Press Release Denmat Introduces New Product To Crown Cementation Syste I Know Denmat - Make sure any residue (temporary cement, desensitizers, astringents, disinfectants, etc.) is

Cementation Of Zirconia Crown : I Know Denmat Denmat Press Release Denmat Introduces New Product To Crown Cementation Syste I Know Denmat - Make sure any residue (temporary cement, desensitizers, astringents, disinfectants, etc.) is. The layered zirconia bridge restoration from teeth nos. Color stability is not an issue i worry about as the crown is opaque. The phosphate ion in the acid greatly reduces any potential bonding to the zirconia. The aim of this study was to investigate the influence of the cementation strategy on the fatigue resistance of zirconia crowns. Usually, oxide ceramics such as zirconia crowns can be cemented in place with the same types of cement used for pfm restorations.

Then dispense the speedcem plus directly into the crown and seat it on the tooth. Do not clean the tooth preparations with prophy paste. Simply try the crown on the tooth, remove and disinfect with ivoclean. The emollients and fluoride in some prophy pastes can be negative and cause crowns to come off. We recommend its use with a resin cement like anchor.

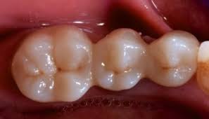
Zirconia Crowns Cementation With Resin Modified Glass Ionomer Cement Myzerodonto
Zirconia Crowns Cementation With Resin Modified Glass Ionomer Cement Myzerodonto from www.myzerodonto.com
• avoid any contact of phosphoric acid with the zirconia restoration during the cementation process. Should zirconia crowns be bonded or cemented to the teeth? Oxide ceramics are also resistant to being etched, but sandblasting the surface can help to make it more adhesive. Article by christopher ramsey, dmd. Cementation of zirconia crowns 1. The efficient way of cementing zirconium oxide restorations. This makes the experience of cementing a zirconium oxide crown feel just like cementing a pfm. The emollients and fluoride in some prophy pastes can be negative and cause crowns to come off.

The phosphate ion in the acid greatly reduces any potential bonding to the zirconia.

Oxide ceramics are also resistant to being etched, but sandblasting the surface can help to make it more adhesive. Step 5 for automix delivery: This implies that a full crown is not the first choice, because approximately 70. The phosphate ion in the acid greatly reduces any potential bonding to the zirconia. Various cement have been used to lute the monolithic zirconia crowns, namely, the zinc phosphate cement, resin cement, glass ionomer cement, and the polycarboxylate cement. The predominant mode of failure was cement remaining principally on the zirconium oxide copings in 46% of the specimens, followed by cement found on the tooth in 25.7% of the specimens. Then dispense the speedcem plus directly into the crown and seat it on the tooth. 5%) and rinse with water. After the patient was shown the retracted view for acceptance, the cementation process was initiated. For example, reliable adhesive cementation of zirconia restorations would not be possible without mdp. Article by christopher ramsey, dmd. I am hunting for the best cement for zirconia crowns. The overall strength of zirconia allows it to be traditionally cemented when a full understanding of the best conditions are available.

9 through 12 was tried in first followed by the crown restorations on teeth nos. Campos f, valandro lf, feitosa sa, kleverlaan cj, feilzer aj, de jager n, bottino ma. Complete the adaptation by gently pushing the abutment into the crown and then carefully removing it. Some resin cements have a primer for metal alloy, others do not. We recommend its use with a resin cement like anchor.

Exploring The Use Of Pulsed Erbium Lasers To Retrieve A Zirconia Crown From A Zirconia Implant Abutment
Exploring The Use Of Pulsed Erbium Lasers To Retrieve A Zirconia Crown From A Zirconia Implant Abutment from journals.plos.org
The zirconia crown with luting agent inside was then firmly seated over the preparation with firm finger pressure (figure 8). Step 1 sandblast surfaces to be cemented with 30 or 50 micron aluminum oxide at a pressure of 2 bar (30 psi) to create a matte surface appearance. Avoid any contact of phosphoric acid with the zirconia restoration during the cementation process. This makes the experience of cementing a zirconium oxide crown feel just like cementing a pfm. Do not use phosphoric acid for cleaning. Blasted zirconia surface provides a very good long term result. • avoid any contact of phosphoric acid with the zirconia restoration during the cementation process. Article by christopher ramsey, dmd.

Paul, minn.) or gc fuji plus™ (gc america;

Requirements for indirect restorations indirect restorations in modern dentistry must fulfil at least three requirements. Make sure any residue (temporary cement, desensitizers, astringents, disinfectants, etc.) is We recommend its use with a resin cement like anchor. The retention of conventional resin cement with a universal adhesive (relyx ultimate, 3m espe. • avoid any contact of phosphoric acid with the zirconia restoration during the cementation process. Color stability is not an issue i worry about as the crown is opaque. This makes the experience of cementing a zirconium oxide crown feel just like cementing a pfm. Step 5 for automix delivery: Complete the adaptation by gently pushing the abutment into the crown and then carefully removing it. 9 through 12 was tried in first followed by the crown restorations on teeth nos. Campos f, valandro lf, feitosa sa, kleverlaan cj, feilzer aj, de jager n, bottino ma. Avoid any contact of phosphoric acid with the zirconia restoration during the cementation process. Usually, oxide ceramics such as zirconia crowns can be cemented in place with the same types of cement used for pfm restorations.

Simplified adhesive cementation, tooth preparation, esthetic prosthesis. Then dispense the speedcem plus directly into the crown and seat it on the tooth. For example, reliable adhesive cementation of zirconia restorations would not be possible without mdp. Do not clean the tooth preparations with prophy paste. Blasted zirconia surface provides a very good long term result.

In Vitro Comparative Analysis Of Fracture Resistance Of Lithium Disilicate Endocrown And Prefabricated Zirconium Crown In Pulpotomized Primary Molars Abstract Europe Pmc
In Vitro Comparative Analysis Of Fracture Resistance Of Lithium Disilicate Endocrown And Prefabricated Zirconium Crown In Pulpotomized Primary Molars Abstract Europe Pmc from europepmc.org
Blasted zirconia surface provides a very good long term result. Step 5 for automix delivery: Is zirconia bonding similar to emax crowns? The predominant mode of failure was cement remaining principally on the zirconium oxide copings in 46% of the specimens, followed by cement found on the tooth in 25.7% of the specimens. Simply try the crown on the tooth, remove and disinfect with ivoclean. The phosphate ion in the acid greatly reduces any potential bonding to the zirconia. Various cement have been used to lute the monolithic zirconia crowns, namely, the zinc phosphate cement, resin cement, glass ionomer cement, and the polycarboxylate cement. Oxide ceramics are also resistant to being etched, but sandblasting the surface can help to make it more adhesive.

Cementation of zirconia crowns 1.

First of all, they must preserve tissue. Step 1 sandblast surfaces to be cemented with 30 or 50 micron aluminum oxide at a pressure of 2 bar (30 psi) to create a matte surface appearance. Various cement have been used to lute the monolithic zirconia crowns, namely, the zinc phosphate cement, resin cement, glass ionomer cement, and the polycarboxylate cement. The predominant mode of failure was cement remaining principally on the zirconium oxide copings in 46% of the specimens, followed by cement found on the tooth in 25.7% of the specimens. • do not clean the tooth preparations with prophy paste. Make sure any residue (temporary cement, desensitizers, astringents, disinfectants, etc.) is Should zirconia crowns be bonded or cemented to the teeth? Every cement has its own. This makes the experience of cementing a zirconium oxide crown feel just like cementing a pfm. The phosphate ion in the acid greatly reduces any potential bonding to the zirconia. Cementation of zirconia crowns 1. After the patient was shown the retracted view for acceptance, the cementation process was initiated. The zirconia crown with luting agent inside was then firmly seated over the preparation with firm finger pressure (figure 8).

Then dispense the speedcem plus directly into the crown and seat it on the tooth cementa. The zirconia crown with luting agent inside was then firmly seated over the preparation with firm finger pressure (figure 8).

Posting Komentar

0 Komentar